Искусственный интеллект Google выявляет рак груди точнее опытного врача

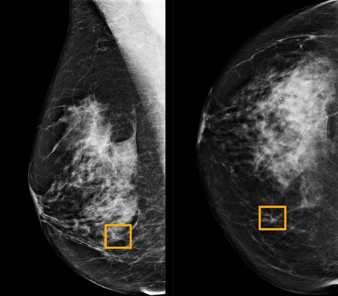
Исследование, опубликованное в журнале Nature, показало, что искусственный интеллект (ИИ) может повысить точность скрининга на рак молочной железы, которым, как утверждается, страдает каждая восьмая женщина в мире.

Изучая маммограммы, система искусственного интеллекта Google показала себя не хуже, чем опытные врачи и продемонстрировала перспективу уменьшения количества ошибок.

По данным Американского онкологического общества, радиологи пропускают около 20% случаев рака молочной железы, и половина всех женщин, которые прошли скрининг в течение 10 лет, имеют ложноположительный результат.

Искусственный интеллект Google выявляет рак груди точнее опытного врача
Оцените статью